by Abrielle Lamphere, RDH, MSDH
October 1, 2024
This case has been prepared for publication during National Dental Hygiene Month 2024. The content is revealed as clues in email and on social media, with the full clues, case and care presented here. The case follows the ADHA Standards for Clinical Dental Hygiene Practice and incorporates a clinically supported solution from Colgate.
Initial Clues and Patient Introduction

A middle-aged dental patient, Alex (she/her), has recently completed chemotherapy to treat breast cancer and presents with oral complications related to her cancer treatment. Alex has been experiencing significant oral discomfort. What could be causing these symptoms?

Alex reports a dry mouth, painful ulcers, and difficulty eating. She has also noticed increased plaque build-up. What are the potential oral health issues she might be facing? Considering Alex’s difficulty eating, what nutritional counseling or dietary recommendations might the dental hygienist suggest to help manage her symptoms and maintain her nutritional intake?
Discovery: Alex is suffering from oral mucositis and xerostomia, common side effects of chemotherapy. These conditions lead to discomfort, difficulty in maintaining oral hygiene, and increased risk of infections.
Nutritional Counseling Recommendations
The goal is to maintain hydration and nutritional intake despite pain and eating difficulties.
- Soft, Moist Foods: Encourage consumption of soft and moist foods like yogurt, mashed potatoes, and smoothies to reduce discomfort while eating.
- Frequent Small Meals: Suggest eating small, frequent meals to ensure adequate nutritional intake without exacerbating oral pain.
- Avoid Irritants: Advise avoiding spicy, acidic, or rough-textured foods that may irritate the oral mucosa.
- Hydration: Emphasize the importance of staying hydrated with water and non-acidic, non-alcoholic beverages to help alleviate dry mouth.
- Nutrient-Rich Foods: Recommend nutrient-dense foods such as avocados, bananas, and cooked vegetables to provide essential vitamins and minerals without causing pain.
Diagnostic Process and Findings
During her dental visit, Alex’s hygienist conducts a thorough oral examination. What signs and symptoms might the hygienist look for to confirm the diagnosis? Alex’s dental hygienist performs a salivary flow test, revealing significantly reduced saliva production. What are the possible implications of this finding? What would be the expected results of a normal salivary flow test compared to a result indicating xerostomia? Considering Alex’s recent chemotherapy, what are the potential controversies or concerns with taking dental radiographs for this patient?
- Normal Salivary Flow Rate:
- Unstimulated: 0.3-0.4 mL/min
- Stimulated: 1.0-3.0 mL/min
- Xerostomia (Dry Mouth):
- Unstimulated: Less than 0.1 mL/min
- Stimulated: Less than 0.7 mL/min
Radiography Controversy
Taking radiographs on a patient like Alex, who has undergone chemotherapy, should follow specific precautions to minimize radiation exposure while maximizing diagnostic benefits. Based on the ADA’s recommendations, here are the key considerations:
- Justified Use: Radiographs should only be taken if they will provide essential diagnostic information. This is particularly important for patients with a history of chemotherapy, where minimizing radiation exposure is critical
- ALARA Principle: Following the “As Low as Reasonably Achievable” (ALARA) principle is crucial. This involves using the fastest image receptor available (e.g., digital sensors) and restricting the X-ray beam size to only the area being examined
- Shielding Considerations: The use of lead aprons and thyroid collars, though previously standard, is no longer necessary with modern digital X-ray equipment. This is because newer systems are more precise, and shielding could obstruct the image, leading to the need for additional exposures
The dental hygienist confirms xerostomia and oral mucositis. Reduced saliva production has led to increased plaque accumulation, enhancing the risk of caries and periodontal disease.
Treatment Planning
To manage Alex’s symptoms, the dental hygienist considers both palliative care and preventive strategies. What types of interventions could be included in Alex’s treatment plan? Alex’s treatment plan includes a combination of prescription medications, over-the-counter products, and home care recommendations. What products and strategies could help alleviate her symptoms and improve her oral health? What toothbrush and interdental care products would be best for a client suffering from oral mucositis to maintain oral hygiene with minimal discomfort?
- Prescription Medications:
- Topical anesthetics like lidocaine for pain relief.
- Antifungal medications such as nystatin if oral thrush is present.
- Pilocarpine or cevimeline to stimulate saliva production if necessary.
- Over-the-Counter Products:
- Artificial saliva substitutes to relieve dry mouth.
- Antimicrobial mouth rinses to control plaque.
- Home Care Recommendations:
- Toothbrush Selection: A soft-bristled or ultra-soft toothbrush, such as the Colgate® 360° Enamel Health Sensitive Toothbrush, to gently clean teeth without irritating sensitive oral tissues.
- Interdental Care Products: Soft interdental brushes or floss alternatives like water flossers (e.g., Waterpik®) to remove plaque without causing discomfort.
- Use of prescription fluoride toothpaste and mouth rinses to prevent caries.
- Education on maintaining oral hygiene through gentle brushing and flossing techniques.
- Colgate’s clinically supported solution, such as the Colgate® Hydris™ Dry Mouth Mouthwash, to provide long-lasting moisture and comfort.
Follow-Up and Patient Outcomes
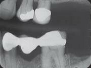
After implementing the treatment plan, Alex returns for a follow-up visit. During the examination, the dental hygienist discovers a carious lesion on #2-D. What restorative treatment options are available for Alex? Alex’s dental hygienist is considering using Silver Diamine Fluoride (SDF) as part of the treatment plan. What are the benefits and potential drawbacks of using SDF for caries management? Given Alex’s condition, the dental hygienist plans to collaborate with other healthcare professionals. Which professionals should be involved in Alex’s care, and why is interprofessional collaboration important for patient safety and healthcare outcomes?
Alex shows significant improvement in her symptoms. Regular use of the prescribed products and medications has reduced her discomfort and helped maintain oral hygiene. The combination of professional care, pharmacologic interventions, and Colgate’s solution has effectively managed her xerostomia and reduced the risk of caries and other oral complications.
Restorative Treatment Options for Carious Lesion on #2-D:
- Silver Diamine Fluoride (SDF):
SDF is a non-invasive treatment that arrests dental caries. It can halt the progression of the lesion on #23F without the need for more invasive restorative procedures. SDF is ideal for patients who have difficulty accessing or tolerating traditional restorative care.- Benefits:
- Arrests caries and prevents further decay.
- Minimally invasive and painless application.
- Suitable for patients with high caries risk and those with difficulty accessing traditional dental care.
- Drawbacks:
- Causes permanent black staining on the carious tooth surface.
- May require reapplication for continued effectiveness.
- Benefits:
- Composite Resin Restoration:
- Tooth-colored filling material that restores the tooth’s natural appearance.
- Provides durable and esthetic results.
- Requires removal of decayed tooth structure.
- Glass Ionomer Cement (GIC):
- Releases fluoride, which helps in remineralization and prevents secondary caries.
- Bonds well to tooth structure and is relatively moisture-tolerant.
- Suitable for areas that are not subjected to heavy chewing forces.
Preventive Strategies:
- Topical Fluoride Applications: Regular use of fluoride varnishes or gels to strengthen enamel and prevent further decay.
- Sealants: Application of sealants on the occlusal surfaces of molars to protect against caries.
- Enhanced Oral Hygiene: Continued use of prescription fluoride toothpaste and antimicrobial mouth rinses.
- Dietary Counseling: Ongoing guidance to avoid sugary and acidic foods that can contribute to caries formation.
Interprofessional Collaboration
Importance of Interprofessional Collaboration
- Collaborating Professionals:
- Oncologists: To stay informed about Alex’s overall health status, cancer treatment plan, and any potential interactions with dental treatments.
- Nutritionists/Dietitians: To provide expert nutritional counseling, ensuring Alex maintains proper nutrition despite oral discomfort.
- Primary Care Physicians: To monitor general health and manage any systemic conditions that could affect oral health.
- Pharmacists: To review and manage medications for potential interactions and side effects.
- Speech Therapists: To assist with any difficulties in eating and swallowing due to oral mucositis.
Why It’s Important
- Patient Safety: Ensures comprehensive care by considering all aspects of Alex’s health and avoiding potential complications from conflicting treatments.
- Improved Healthcare Outcomes: Collaborative efforts lead to a holistic approach, addressing both oral and systemic health issues effectively.
- Continuity of Care: Ensures that all healthcare providers are on the same page regarding Alex’s treatment plan and progress.
Communication Strategies
- Regular Meetings: Schedule interdisciplinary meetings to discuss Alex’s case and update the treatment plan as needed.
- Shared Electronic Health Records (EHR): Utilize EHR systems to share patient information, treatment updates, and progress notes among all healthcare providers.
Connecting to ADHA Standards
- Assessment:
- Comprehensive Examination: The dental hygienist conducts a thorough oral examination, looking for signs and symptoms of oral mucositis and xerostomia, and performs a salivary flow test to assess saliva production.
- Patient History Documentation: Detailed documentation of Alex’s medical and dental history, including her recent chemotherapy and current symptoms, is maintained.
- Nutritional Assessment: Nutritional counseling is provided to help manage Alex’s difficulty eating and maintain proper nutritional intake.
- Diagnosis:
- Oral Conditions Identification: Identification of oral mucositis and xerostomia as side effects of chemotherapy.
- Caries Detection: Discovery and diagnosis of a carious lesion on #2-D.
- Planning:
- Personalized Treatment Plan: Development of a treatment plan involving pharmacologic interventions (e.g., topical anesthetics, antifungal medications, saliva stimulants), over-the-counter products (e.g., artificial saliva substitutes, antimicrobial mouth rinses), and home care recommendations (e.g., soft-bristled toothbrush, water flosser).
- Interprofessional Collaboration: Planning for collaboration with oncologists, nutritionists, primary care physicians, pharmacists, and speech therapists to ensure comprehensive care.
- Implementation:
- Pharmacologic Treatments: Prescription of appropriate medications to manage symptoms.
- Oral Hygiene Products: Recommendations for specific oral hygiene products such as Colgate® 360° Enamel Health Sensitive Toothbrush and Colgate® Hydris™ Dry Mouth Mouthwash.
- Restorative Treatment: Implementation of restorative treatments for the carious lesion, including options like Silver Diamine Fluoride (SDF), composite resin restoration, and glass ionomer cement.
- Evaluation:
- Follow-Up Visits: Regular follow-ups to monitor Alex’s progress, evaluate the effectiveness of the treatment plan, and make necessary adjustments.
- Outcome Assessment: Assessment of improvements in symptoms, oral hygiene maintenance, and overall health outcomes.
- Documentation:
- Detailed Records: Comprehensive documentation of all findings, treatments, patient outcomes, and interprofessional collaboration efforts.
____________________________________
Patients of all ages can experience dry mouth, especially those who are medically compromised. Colgate® PreviDent® 5000 ppm Dry Mouth (1.1% Sodium Fluoride) toothpaste protects patients at high risk of caries.
To order contact your Colgate Territory Manager or call 1-800-2COLGATE (1-800-226-5428) Monday – Thursday (7:30 am – 5:30 pm CT) Friday (7:30 am – 4:30 pm CT) to speak to a customer service specialist.
References: 1. Joziak MT, et al. Comparison of enamel fluoride uptake and fluoride release from liquid and paste dentifrice. J Dent Res. 2003; 82 (Sp Issue). Abstract 1355. Important Safety Information: PreviDent® 5000 ppm Dry Mouth Toothpaste: Do not swallow. Keep out of reach of children. Acute burning in the mouth and sore tongue may be experienced by some individuals. If accidental ingestion occurs, side effects may include nausea, vomiting, diarrhea, and abdominal pain. See Package Insert for additional safety information.
STATUTORY PRICE DISCLOSURE FOR COLORADO PRESCRIBERS
In accordance with the Colorado Wholesale Acquisition Cost Disclosure Law (Colorado Revised Statutes Section 12-42.5-308), Colgate Oral Pharmaceuticals, Inc. is disclosing to you, as an authorized prescriber of prescription drugs in Colorado, certain required pricing information for Colgate Oral Pharmaceuticals, Inc. marketed prescription drugs. Please visit this webpage to access this price disclosure information.
STATUTORY PRICE DISCLOSURE FOR CONNECTICUT PRESCRIBERS
In accordance with the Connecticut Public Act No. 23-171, Colgate Oral Pharmaceuticals, Inc. is disclosing to you, as an authorized prescriber of prescription drugs in Connecticut, certain required pricing information for Colgate Oral Pharmaceuticals, Inc. marketed prescription drugs. Please visit this webpage to access this price disclosure information.
____________________________________
Article References
Edwards A, Santos C, Chen A-Y, Bauer J. Nutritional interventions for oral mucositis: a systematic literature review. Nutrition & Dietetics. 2021; 78: 101–114. https://doi-org.proxy.ulib.uits.iu.edu/10.1111/1747-0080.12656
Reza Amiri Khosroshahi, Sepide Talebi, Sheida Zeraattalab-Motlagh, Hossein Imani, Amirabbas Rashidi, Nikolaj Travica, Hamed Mohammadi, Nutritional interventions for the prevention and treatment of cancer therapy-induced oral mucositis: an umbrella review of systematic reviews and meta-analysis, Nutrition Reviews, Volume 81, Issue 9, September 2023, Pages 1200–1212, https://doi.org/10.1093/nutrit/nuac105
American Dental Association. (2023). Xerostomia (dry mouth). ADA. Retrieved September 27, 2024, from https://www.ada.org/resources/ada-library/oral-health-topics/xerostomia
ADA Council on Scientific Affairs. Dental Radiographic Examinations: Recommendations for Patient Selection and Limiting Radiation Exposure. Chicago: American Dental Association; 2012. 24 p. Available from: https://www.ada.org/resources/ada-library/oral-health-topics/xerostomia
ADA Council on Scientific Affairs. ADA Releases Updated Recommendations to Enhance Radiography Safety in Dentistry. Chicago: American Dental Association; 2024 Feb 1. Available from: https://www.ada.org/about/press-releases/ada-releases-updated-recommendations-to-enhance-radiography-safety-in-dentistry.
Chan AKY, Tamrakar M, Jiang CM, Tsang YC, Leung KCM, Chu CH. Clinical evidence for professionally applied fluoride therapy to prevent and arrest dental caries in older adults: A systematic review. J Dent. 2022 Oct;125:104273. doi: 10.1016/j.jdent.2022.104273.
____________________________________
Professor Abrielle Lamphere joined the faculty of Indiana University in the summer of 2022. Before her current role, she served as an adjunct instructor at Lansing Community College and provided dental hygiene care at a federally qualified health center in Grant, MI. Abrielle earned her Associate of Applied Science in Dental Hygiene (2017) and Bachelor of Science in Dental Hygiene (2020) from Ferris State University, followed by a Master of Science in Dental Hygiene from the University of Michigan (2022). Additionally, she holds certificates in Graphic Design, Computer Science, and Community Health.
At the undergraduate level, Abrielle teaches courses in Community Health and Epidemiology, Dental Ethics, Preventive Dentistry, and Dental Hygiene Care for Special Needs Populations. She is an active member of Sigma Phi Alpha, the National Dental Hygiene Honor Society, and holds memberships in the American Dental Education Association, the American Association of Public Health Dentistry, the American Dental Hygienists’ Association, and the International Association for Dental, Oral, and Craniofacial Research. Abrielle also serves as President of the Grand Shores Dental Hygienists’ Association, a local component of the Michigan Dental Hygienists’ Association. Her academic and research interests include interprofessional education, epidemiology, and expanding the scope of practice for dental hygienists.



